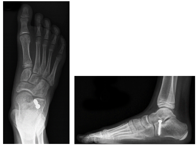
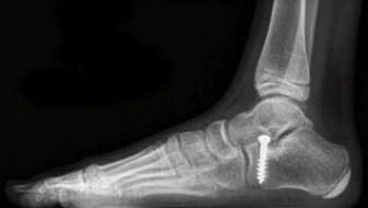
Juli's Fuss-OP

Oktober 2018, der Knochen muss gerichtet werden.

Anmelden

 

Probleme beim Login?

Hier kannst Du ein neues Passwort anfordern.


Letzte Kommentare

  • Philosophenbank

    Philosophenbank

    Der Neubau einer Philosophenbank, was das genau ist, erfährst Du hier.

  • Jonas eigenes Auto

    Jonas eigenes Auto

    Ein Jahr vergangen, der Mercedes geht weg und nun muss etwas Eigenes her!

  • Das erste Auto

    Das erste Auto

    Nach dem Führerschein muss ein Auto her!